RETENCIJA ali VZDRŽEVANJE DOSEŽENEGA STANJA
Retencija predstavlja zadnjo fazo ortodontske terapije. Zobje, ki smo jih v pravilni položaj premikali z ortodontsko silo, se želijo vrniti v prvotni položaj. Prav tako je nestabilen medčeljustnični odnos, ki smo ga dosegli s funkcionalnimi aparati oziroma nošenjem intermaksilarnih elastik.
Nestabilnost doseženega rezultata je vzrok, da takoj po snetju nesnemnega ortodontskega aparata oz. po nošenju zadnje opornice namestimo aparate za vzdrževanje doseženega stanja – to so retencijski aparati ali retinerji.
Retinerji so lahko snemni aparati ali nesnemni retencijski loki (žičke), ki imajo funkcijo, da zobe zadržijo v želenem položaju dokler se kosti, dlesen, ustnica in obraz ne privadijo novonastali situaciji. Ker pa imajo zobje celo življenje tendenco premikanja, je smiselno žičko ohranjati, saj prepreči morebitne neugodne premike zob. Prav tako se svetuje nošenje snemnih aparatov.
Danes pacient lahko izbira med različnimi možnostmi:
- Vzdrževanje doseženega s snemnimi aparati*
- Vzdrževanje doseženega stanja z retencijskimi žičkami in osveščenost pacientov ter paradontologov, zobozdravnikov in ustnih higienikov
- Vzdrževanje z retencijskimi žičkami, snemnimi aparati in osveščenost pacientov ter paradontologov, zobozdravnikov in ustnih higienikov
- Pustimo, da se zobje premikajo in ne damo nobenega aparata za vzdrževanje
Ločimo klasične snemne aparate (zgornje in spodnja Schwartova plošča) in retencijske folije različnih proizvajalcev (v primeri Invsailgna so to VIVERA opornice).
*1a klasični snemni aparati
*1.a Prednost klasičnih aparatov je, da so zelo obstojni, so pa bolj neprijetni za uporabnika, ker so neudobni, potrebna je tudi 100% sodelovanje pacienta, saj mora aparat nositi po navodilih ortodonta. V uporabi so že zelo dolgo (Artur Martin Schwarz (1887–1963) je bil avstrijski ortodont, ki je leta 1956 razvil Schwarzove dvojne ploščice) in do sedaj še ni bilo opisanih negativnih stranskih učinkov tudi po dolgotrajni uporabi (razen v primeru na alergije na material).
*1b Vivera retencijska folija (priozvajalec Invisalign)
*1.bRetecijske folije so bolj udobne, prav tako pa je potrebno 100%sodelovanje. Slabost je, da ne zagotavljajo precizne stabilnosti. Zaradi neobstojnosti materiala je potrebno opornico po enem letu zamenjati. Ali obstajajo še kakšni stranski učinki po dolgotrajni uporabi, pa je še uganka, saj še niso dolgo v uporabi in nimamo podatkov.


* 2 zgornja in spodnja retencijska žička
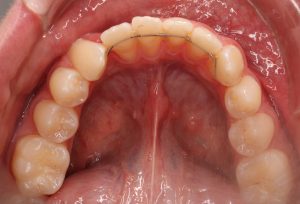
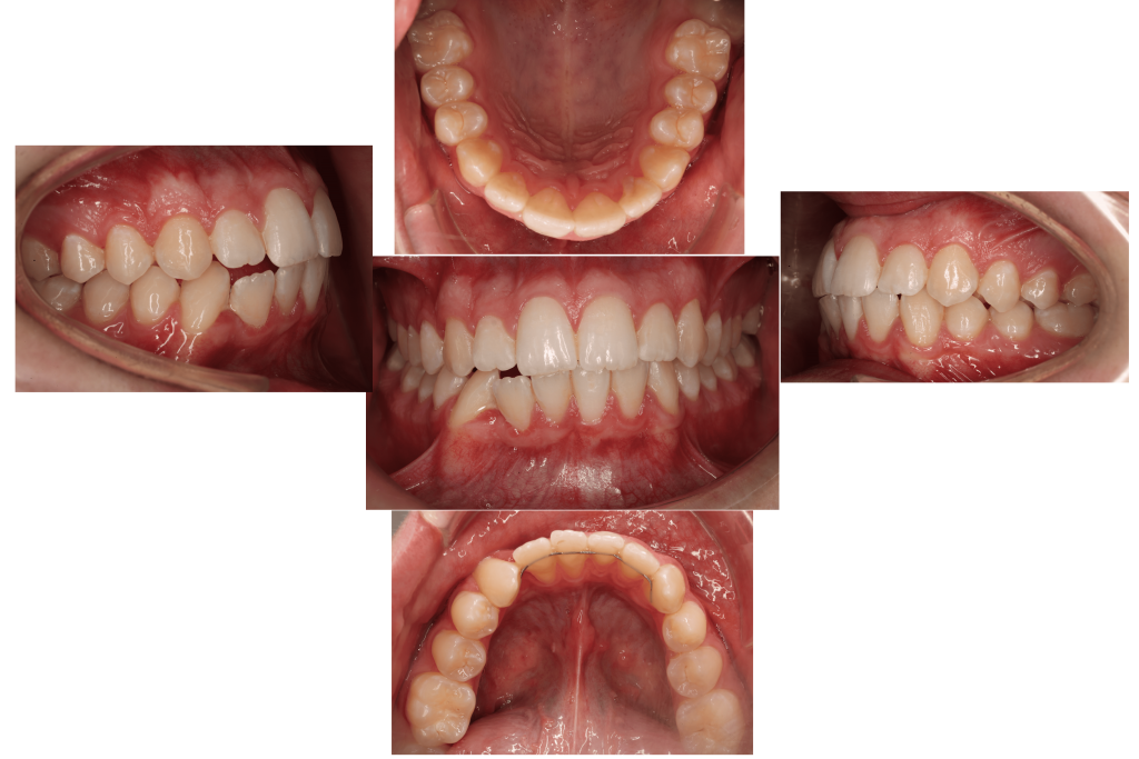
*2.Retencijske žičke so v uporabi od leta 1970. Fiksacija zob z retencijsko žičko, ki je nalepljena na notranji strani zob, se je izkazala za zelo priljubljeno, saj prepečeuje premike zob, kjer je recidiv zelo verjeten in snemni retencijski aparati niso zanesljivi, prav tako ni potrebno pacientovo sodelovanje. Po množični in dolgotrajni uporabi pa se je izkazalo, da te žičke niso tako nedolžne in lahko pride do stranskih neželjenih učinkov.
Leta 2022 je bila narejena prva študija o stranskih učinkih retencijske žičke. V ortodonstkih krogih je pojav dobil ime WIRE-SINDROM. Nov pojem wire sindrom se nanaša na premike zob, ki jih je mogoče opredeliti kot nenormalne, nepričakovane, nepojasnjene ali prekomerne premike zob, ki jih še vedno drži nepoškodovana ortodontska retenerska žica brez odstopitve ali zloma, kar vodi do razvijajočih se estetskih in/ali funkcionalnih posledic, tako zobnih kot parodontalnih.

Primer iz naše ambulante
Wire sindroma je nov pojav in je zaskrbljujoč za ortodonte, splošne zobzdravnike in parodontologe predvsem pa za paciente. Pomembno je, da primere odkrijemo zgodaj in se takoj učinkovito preprečijo nadaljni neželeni premiki zob in z njimi povezane posledice za dento-parodontalno tkivo ter se odločimo za ustrezno terapijo. Sporočilo akademske stroke pa je, da so potrebne dodatne klinične študije za razjasnitev etiopatogenih mehanizmov žičnih sindromov in njihovih kliničnih vplivov, kar bo akademski stroki na koncu omogočilo, da kliničnim ortodontom predlagajo učinkovite preventivne ukrepe.
Še vedno svetovno znani ortodonti svetujejo retencijsko žičko kot najbolj optimalen način vzdrževanja in poudarjajo, da je potrebno poučiti paciente, naj svoje zobe opazujejo in pri namanjših spremembah obiščejo ortodonta, pri katerm so bili zdravljeni.
Ortodonti se soočamo z novim izzivom – kako vzdrževati doseženo stanje po uspešno zaključeni ortodonstki terapiji. Glede na to, da ni idealne izbire, se glede na prednosti in slabosti o aparatih za vzdrževanje se po posvetu z ortodontom odločijo sami. Glede na dano situacijo pa v naši ambulanti čutimo dolžnost, da povozovemo vse : paciente, zobozdravnike, paradontologe in ustne higienike, da v prevrejajo stabilnost zob in v primeru sprememb poiščejo pomoč pri ortodontu.
Viri:
- GC Ortodontski simpozij »Learning From Mistakes«, Heraklion 3. in 4.10.2025
- Unexpected complications of bonded mandibular lingual retainers: Christos Katsaros1, Christos Livas, Anne-Marie Renkema
- “Wire Syndrome” Following Bonded Orthodontic Retainers: A Systematic Review of the Literature : Carole Charavet 1,2,3,* , France Vives 1,2, Sofia Aroca 4,5 and Sophie-Myriam Dridi 3,6,7